
时间:2024-09-19 来源:网络 人气:

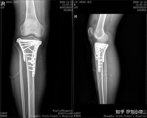
胫骨平台骨折是膝关节常见的损伤之一,它涉及到膝关节的重要结构。当发生胫骨平台骨折时,患者可能会面临手术治疗或保守治疗的选择。本文将详细介绍胫骨平台骨折的保守治疗方法,帮助患者了解非手术康复之路。


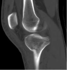
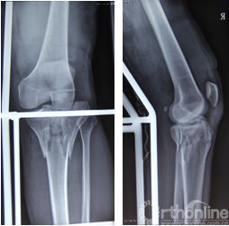
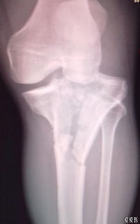
胫骨平台是位于胫骨上端的一个平台,与股骨的髁部形成膝关节。胫骨平台骨折是指胫骨平台部位发生的骨折,可能是由于直接撞击、跌倒或扭伤等原因引起。根据骨折的严重程度和位置,可分为多种类型,如单纯骨折、粉碎性骨折等。


并非所有胫骨平台骨折都适合保守治疗。以下情况可以考虑采用保守治疗:
无移位的胫骨平台骨折
胫骨平台关节面塌陷小于2mm
患者身体条件不允许接受手术治疗
患者拒绝手术治疗


胫骨平台骨折的保守治疗方法主要包括以下几种:


在保守治疗期间,患者需要注意以下几点:
保持患肢抬高,有利于减轻肿胀和瘀血。
适当活动脚趾、踝关节和髋关节,促进血液循环。
避免患肢屈伸活动和下地负重,以免影响骨折愈合。
遵医嘱使用活血化瘀药物,促进骨折恢复。


胫骨平台骨折的保守治疗通常需要4-6周的时间进行石膏固定,之后进行膝关节屈伸功能锻炼。一般而言,患者在2个月内可以恢复到正常活动,3个月左右可以完全恢复正常。具体恢复时间因个体差异而异。


胫骨平台骨折的保守治疗是一种安全、有效的非手术康复方法。了解保守治疗的方法和注意事项,有助于患者更好地配合治疗,加快康复进程。在治疗过程中,患者应保持积极的心态,遵循医嘱,相信自己能够战胜病痛。