
时间:2025-04-02 来源:网络 人气:
你知道吗?人体内最大的实质性器官——肝脏,它内部的结构竟然如此复杂,就像一个精密的迷宫。今天,就让我带你走进这个迷宫,揭开肝脏分段的神秘面纱。

肝脏分段,听起来是不是很专业?别担心,我会用最简单的方式让你明白。肝脏分段,其实就是根据肝脏内部的管道系统,将肝脏划分成若干个区域,每个区域都有独立的血液供应和胆汁引流。这样做的目的是为了在手术中,能够更精确地切除病变部位,同时最大限度地保留正常肝组织。

肝脏分段的秘密,其实就藏在格利森系统里。格利森系统是由门静脉、肝动脉和肝管组成的,它们就像一条条高速公路,将血液和胆汁输送到肝脏的各个角落。根据格利森系统的分布,肝脏被划分为八个区域,也就是八个分段。
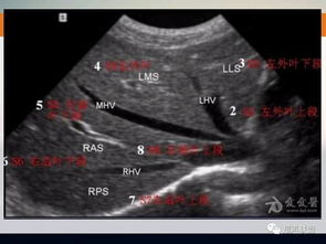
- I段:尾状叶,位于肝脏的后方,形状像一条尾巴。
- II段:左外叶上段,位于肝脏的左侧,形状像一把伞。
- III段:左外叶下段,位于肝脏的左侧,形状像一把勺子。
- IV段:左内叶,位于肝脏的左侧,形状像一颗心。
- V段:右前叶下段,位于肝脏的右侧,形状像一把剑。
- VI段:右后叶下段,位于肝脏的右侧,形状像一把锤子。
- VII段:右后叶上段,位于肝脏的右侧,形状像一把弓。
- VIII段:右前叶上段,位于肝脏的右侧,形状像一把扇子。

肝脏分段,对于肝脏外科手术来说,意义重大。它可以帮助医生:
- 精准定位:确定病变部位的具体位置,为手术提供精确的导航。
- 减少损伤:在切除病变部位的同时,最大限度地保留正常肝组织,减少手术创伤。
肝脏分段,主要依靠影像学检查,如CT、MRI等。通过这些检查,医生可以清晰地看到肝脏内部的管道系统,从而准确地划分出各个分段。
- CT检查:首先找出肝脏的三大静脉:肝中静脉、肝左静脉、肝右静脉;找出门静脉及其分叉部位。门静脉分叉可以区分上段和下段,即肝S5/S8、S6/S7,门静脉分叉以上为S8、S7;肝右静脉和肝中静脉之间是右前叶,肝右静脉以后是右后叶;一般规律,从CT上看,最先看到的是S8,然后是S2、3,肝左外叶以肝裂为界,比较容易辨认,左内叶为肝裂和肝中静脉之间区域,胆囊往下的层次是S5,最后的层面一般是肝S6,下腔静脉和门静脉夹着的是尾状叶,即S1。
肝脏分段,不仅在手术中发挥着重要作用,还在肝脏疾病的诊断和治疗中有着广泛的应用。
- 诊断:通过分段,可以更准确地判断病变的性质和范围,为诊断提供依据。
- 治疗:根据分段,可以制定个性化的治疗方案,提高治疗效果。
肝脏分段,这个看似复杂的结构,其实蕴含着巨大的科学价值。它不仅为肝脏外科手术提供了精准的导航,还为肝脏疾病的诊断和治疗提供了有力支持。让我们一起,为这个神奇的器官点赞吧!